Menu
biotium logo
Antibody Finder
Menu

Human IgM Immunoglobulin Monoclonal Mouse Antibody (IM260)

Conjugation
Size
Catalog #
price
Qty
50 uL
100 uL
500 uL
Clear selection

Add to Cart
This product is available by special order only.

Please fill in the inquiry form and we will contact you shortly.

Product Description

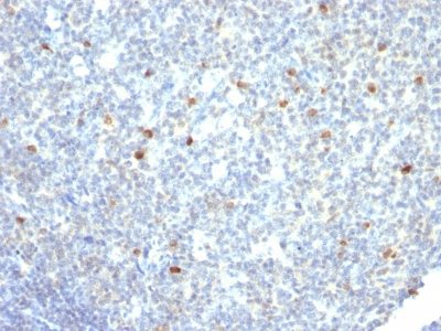
Recognizes a protein of 75 kDa, identified as mu heavy chain of human immunoglobulins. It does not cross-react with alpha (IgA), gamma (IgG), epsilon (IgE), or delta (IgD), heavy chains, T-cells, monocytes, granulocytes, or erythrocytes. This MAb is useful in the identification of leukemias, plasmacytomas, and certain non-Hodgkin’s lymphomas. The most common feature of these malignancies is the restricted expression of a single heavy chain class. Demonstration of clonality in lymphoid infiltrates indicates that the infiltrate is clonal and therefore malignant.

Primary antibodies are available purified, or with a selection of fluorescent CF® dyes and other labels. CF® dyes offer exceptional brightness and photostability. See the CF® Dye Brochure for more information. Note: Conjugates of blue fluorescent dyes like CF®405S and CF®405M are not recommended for detecting low abundance targets, because blue dyes have lower fluorescence and can give higher non-specific background than other dye colors.

Stock status: Because Biotium offers a large number of antibody and conjugation options, primary antibody conjugates may be made to order. Typical lead times are up to one week for CF® dye and biotin conjugates, and up to 2-3 weeks for fluorescent protein and enzyme conjugates. Please email order@biotium.com to inquire about stock status and lead times before placing your order.

 Catalog number key for antibody number 0260, Anti-Human IgM (IM260) 

Antibody # prefixConjugationEx/Em (nm)Laser lineDetection channelDye Features
BNC04CF®405S404/431405DAPI (microscopy), AF405CF®405S Features
BNC88CF®488A490/515488GFP, FITCCF®488A Features
BNC68CF®568562/583532, 561RFP, TRITCCF®568 Features
BNC94CF®594593/614561Texas Red®CF®594 Features
BNC40CF®640R642/662633-640Cy®5CF®640R Features
BNC47CF®647650/665633-640Cy®5CF®647 Features
BNC74CF®740742/767633-685775/50CF®740 Features
BNCBBiotinN/AN/AN/A
BNUBPurifiedN/AN/AN/A
BNUMPurified,
BSA-free
N/AN/AN/A
Alexa Fluor, Pacific Blue, Pacific Orange, and Texas Red are trademarks or registered trademarks of Thermo Fisher Scientific; Cy is a registered trademark of Cytiva; IRDye, LI-COR, and Odyssey are registered trademarks of LI-COR Bioscience.

Product Attributes

Antibody number
#0260
Antibody reactivity (target)
Human IgM
Antibody type
Primary, Anti-Human Immunoglobulin
Host species
Mouse
Clonality
Monoclonal
Clone
IM260
Isotype
IgG1, kappa
Molecular weight
50-75 kDa
Synonyms
AGM1; IGHM; Constant Region of Heavy Chain of IgM; Ig Mu Chain C Region
Human gene symbol
IGHM
Entrez gene ID
3507
SwissProt
P01871 & P20769
Unigene
510635
Immunogen
Recombinant heavy chain of human IgM
Antibody target cellular localization
Plasma membrane, Secreted (extracellular)
Verified antibody applications
IHC (FFPE) (verified), WB (verified)
Species reactivity
Human
Antibody application notes
Higher concentration may be required for direct detection using primary antibody conjugates than for indirect detection with secondary antibody, Immunofluorescence: 0.5-1 ug/mL, Immunohistology formalin-fixed 0.5-1 ug/mL, Staining of formalin-fixed tissues requires boiling tissue sections in 10 mM citrate buffer, pH 6.0, for 10-20 min followed by cooling at RT for 20 minutes, Flow Cytometry 0.5-1 ug/million cells/0.1 mL, Western blotting 0.5-1 ug/mL, Optimal dilution for a specific application should be determined by user
Positive control
293T, Raji or hPBL cells. Tonsil or Spleen
Shipping condition
Room temperature
Storage Conditions
Store at 2 to 8 °C, Protect fluorescent conjugates from light, Note: store BSA-free antibodies at -10 to -35 °C
Shelf life
Guaranteed for at least 24 months from date of receipt when stored as recommended
Regulatory status
For research use only (RUO)
Antibody/conjugate formulation
Conjugates: 0.1 mg/mL in PBS/0.1% BSA/0.05% azide, HRP conjugates: 0.1 mg/mL in PBS/0.05% BSA, Purified: 0.2 mg/mL in PBS/0.05% BSA/0.05% azide, Purified, BSA-free: 1 mg/mL in PBS without azide
Antibody research areas
Cancer, Immunology, Inflammation
Product origin
Product may contain either bovine serum albumin (BSA) from bovine serum (Bos taurus), or recombinant BSA produced in Chinese hamster ovary cells. Inquire for the specific lot.
Cell/tissue expression
B-cells
Tumor expression
Leukemia/lymphoma

Documents, Protocols, SDS and COA

Citations

Note: Note: Listed references are for this antibody clone sold by Biotium and other suppliers.

FAQs

Product shipping, storage, shelf life, & solubility

Bioscience kits
The guaranteed shelf life from date of receipt for bioscience kits is listed on the product information sheet. Some kits have an expiration date printed on the kit box label, this is the guaranteed shelf life date calculated from the day that the product shipped from our facility. Kits often are functional for significantly longer than the guaranteed shelf life. If you have an older kit in storage that you wish to use, we recommend performing a small scale positive control experiment to confirm that the kit still works for your application before processing a large number of samples or precious samples.

Antibodies and other conjugates
The guaranteed shelf life from date of receipt for antibodies and conjugates is listed on the product information sheet. Antibodies and other conjugates often are functional for significantly longer than the guaranteed shelf life. If you have an older conjugate in storage that you wish to use, we recommend performing a small scale positive control experiment to confirm that the product still works for your application before processing a large number of samples or precious samples.

For lyophilized antibodies, we recommend reconstituting the antibody with glycerol and antimicrobial preservative like sodium azide for the longest shelf life (note that sodium azide is not compatible with HRP-conjugates).

Chemicals, dyes, and gel stains
Biotium guarantees the stability of chemicals, dyes, and gel stains for at least a year from the date you receive the product. However, the majority of these products are highly stable for many years, as long as they are stored as recommended. Storage conditions can be found on the product information sheet or product safety and data sheet, material safety data sheet, and on the product label. Fluorescent compounds should be protected from light for long term storage.

If you have a Biotium compound that has been in storage for longer than one year that you wish to use, we recommend performing a small scale positive control experiment to confirm that the compound still works for your application before processing a large number of samples or precious samples.

Expiration date based on date of manufacture (DOM)
If your institution requires you to document expiration date based on date of manufacture for reagents, please contact techsupport@biotium.com for assistance.

Chemical products with special stability considerations:

Esters

Ester compounds include the following:

  • Succinimidyl esters (SE, also known as NHS esters), such as our amine-reactive dyes
  • Acetoxymethyl esters (AM esters), such as our membrane-permeable ion indicator dyes
  • Diacetate-modified dyes, like ViaFluorâ„¢ 405, CFDA, and CFDA-SE cell viability/cell proliferation dyes

Ester dyes are stable in solid form as long as they are protected from light and moisture. Esters are not stable in aqueous solution. Concentrated stock solutions should be prepared in anhydrous DMSO (see Biotium catalog no. 90082). Stock solutions in anhydrous DMSO can be stored desiccated at -20°C for one month or longer. Esters should be diluted in aqueous solution immediately before use. Succinimidyl esters (SE) should be dissolved in a solution that is free of amine-containing compounds like Tris, glycine, or protein, which will react with the SE functional group. AM esters and diacetate compounds should be dissolved in a solution that is free of serum, because serum could contain esterases that would hydrolyze the compound.

A note on CF® Dye succinimidyl ester stability

Succinimidyl esters (SE) are generally susceptible to hydrolysis, which can result in lower labeling efficiency. Many commercially available fluorescent dyes used for life science research are heavily sulfonated dyes which makes them particularly hygroscopic, worsening the hydrolysis problem. In addition, for several commercially available SE reactive dyes, the SE group is derived from an aromatic carboxylic acid, while the SE group in all of Biotium’s CF® Dyes is prepared from an aliphatic carboxylic acid. This structural difference reduces the susceptibility of CF® Dye SE reactive groups to hydrolysis, resulting in relatively stable reactive dyes with consistently higher labeling efficiency compared to other SE derivatives of other fluorescent dyes.

Maleimides, MTS and thiosulfate dyes
Like the succinimidyl ester dyes, these dyes are also susceptible to hydrolysis, although generally to a much lower degree. Thus, for long term storage, anhydrous DMSO is recommended for making stock solutions.

Other reactive dyes
Amines, aminooxy (also known as oxylamine), hydrazide, azide, alkyne, BCN, and tyramide reactive dyes, as well as dye free acids, are generally stable in aqueous solution when stored at -20°C for 6-12 months or longer, as long as no compounds are present that may react with the dye’s functional group. See the product information sheets for specific reactive dyes more information.

Coelenterazines and D-luciferin

Coelenterazines are stable in solid form when stored as recommended; they are not stable in aqueous solution. Concentrated coelenterazine stock solutions (typically 1-100 mg/mL) should be prepared in ethanol or methanol; do not use DMSO or DMF to dissolve coelenterazines, because these solvents will oxidize the compounds. Ethanol or methanol stocks of coelenterazine can be stored at -20°C or below for six months or longer; alcohol stocks may evaporate during storage, so use tightly sealing screw cap vials and wrap the vials with Parafilm for long term storage. Propylene glycol also can be used as a solvent to minimize evaporation. If the solvent evaporates, the coelenterazine will still be present in the vial, so note the volume in the vial prior to storage so that you can adjust the solvent volume to correct for evaporation if needed. Prepare working solutions in aqueous buffers immediately before use. Coelenterazines are stable for up to five hours in aqueous solution.

Aquaphileâ„¢ coelenterazines are water soluble formulations of coelenterazines. They are stable in solid form when stored as recommended. Aquaphileâ„¢ coelenterazines should be dissolved in aqueous solution immediately before use. They are stable for up to five hours in aqueous solution.

Note that coelenterazines are predominantly yellow solids, but may contain dark red or brown flecks. This does not affect product stability or performance. If your coelenterazine is uniformly brown, then it is oxidized and needs to be replaced.

D-luciferin is stable in solid form and as a concentrated stock solution when stored as recommended; it is not stable at dilute working concentrations in aqueous solution. Prepare concentrated D-luciferin stock solutions (typically 1-100 mg/mL) in water, and store in aliquots at -20°C or below for six months or longer. Prepare working solutions immediately before use.

For dyes or reagents that are supplied lyophilized (as solids), it is hard to compare quantities based on appearance of the dye in the tube, because during the lyophilization process the dye can dry down in different ways, either spread out all over the tube, clumped together, or coating the sides or bottom of the tube. Centrifugation of the tube may not help in collecting the dye solid to the bottom of the tube as this generally works for solutions. However, lyophilized solids are packaged based on highly accurate absorbance measurement of the reagent solution prior to drying, so the vial will contain the correct amount of dye.

Biotium ships all antibodies (primary, secondary and conjugates) at room temperature. We guarantee their quality and performance under these conditions based upon our stability testing. Antibodies were subjected to accelerated stability testing by storing them at various temperatures (4°C, room temperature, or 37°C) for 1 week to mimic simulated shipping conditions and tested in immunostaining experiments. All antibodies showed the expected brightness and specificity, even after storage at sub-optimal temperatures for a week or longer. You can also download our Product Storage Statement here.

In line with our goal to be more environmentally friendly by reducing the use of excess packaging, and lowering shipping costs for our customers, products that have passed our stability testing are shipped at room temperature.

Once you have received the antibody vial, please follow the long-term storage instructions on the product information (PI) sheet.

Can’t find your answer?

Contact Us